疫苗与抗感染药物研究平台

Vaccine & Anti-Infective Drug Research Platform

◆ 特色研究

抗病毒感染体内外药效学评价:研究院已建立多种流感病毒、腺病毒,合胞病毒,仙台病毒、疱疹病毒等体外药效评价方法,可通过CPE、空斑法、MTT、血凝抑制、中和抗体等评价药物和疫苗体外抗病毒效果。体内已建立流感、合胞病毒、手足口病、疱疹病毒等多种不同途径病毒感染的动物模型,模型均经过验证符合新药评价要求。

4.1.png

抗细菌感染体内外药效学评价:研究院已建立结核分枝杆菌、肺炎克雷伯菌、大肠埃希菌、铜绿假单胞菌、流感嗜血杆菌、鲍曼不动杆菌、卡他莫拉菌、肺炎链球菌、化脓链球菌、金黄色葡萄球菌等常见感染细菌的体外药效评价方法,并建立多种不同途径细菌感染的动物模型,模型均经过验证,符合新药评价要求。

抗呼吸道感染的药效学评价:抗流感、抗合胞病毒、抗结核杆菌、手足口病等动物模型。

新型预防性疫苗的非临床安全性评价:对减毒灭活疫苗、腺病毒疫苗、疫苗疫苗、mRNA疫苗、重组蛋白疫苗、纳米疫苗等类型预防性疫苗进行符合生物安全的有效性和安全性评价研究。

◆ 技术实力

按GLP要求建立和验证了疫苗与抗感染药物的各类检测技术,并顺利通过监管部门的考核认证。

4.2.png

◆ 仪器设备

4.3.png

◆ 案例展示

图层 7````.png

病理标准:

模型动物肺脏主要以间质炎症为主,表现为肺泡壁、血管和细支气管间周质大量炎性细胞浸润,肺泡腔内也可见大量炎细胞,以巨噬细胞为主。

图层 8``.png

◆ 研究经验

流感模型(雪貂模型机制)

4.4.png

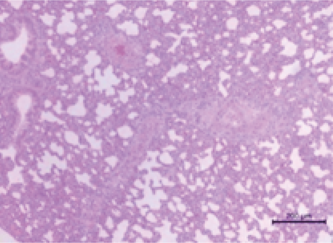
新冠病毒感染模型

已完成超过20个新冠疫苗、涉及毒株包括WT、Delta、Omicron及其变种等。

病理标准:

模型动物肺脏主要以间质炎症为主,表现为肺泡壁、血管和细支气管周间质炎性细胞和浆液性渗出,肺泡腔内也可见大量炎性浆液和炎细胞,以巨噬细胞为主。

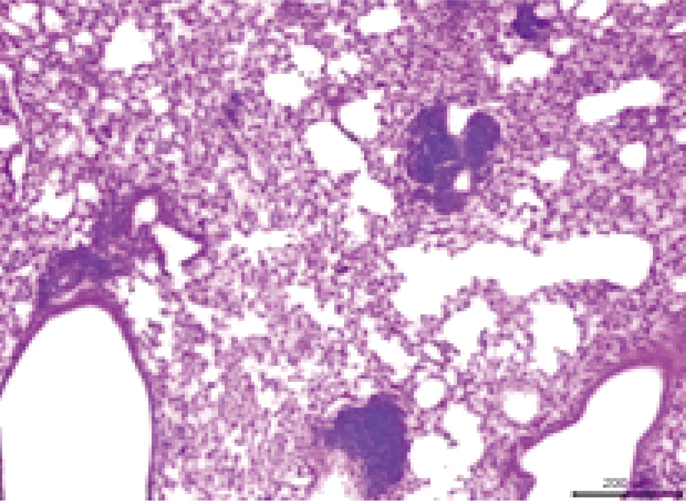
图层 18.png

模型组肺脏:肺重度间质性肺炎,肺泡浆液渗出,轻微血管周围炎细胞浸润

合胞病毒感染模型

已完成6个合胞病毒感染治疗药物评价

病理标准:

模型动物肺脏主要以间质炎症为主,表现为肺泡壁、血管和细支气管周间质炎性细胞和浆液性渗出,肺泡腔内也可见大量炎性浆液和炎细胞,以巨噬细胞为主。

图层 19.png

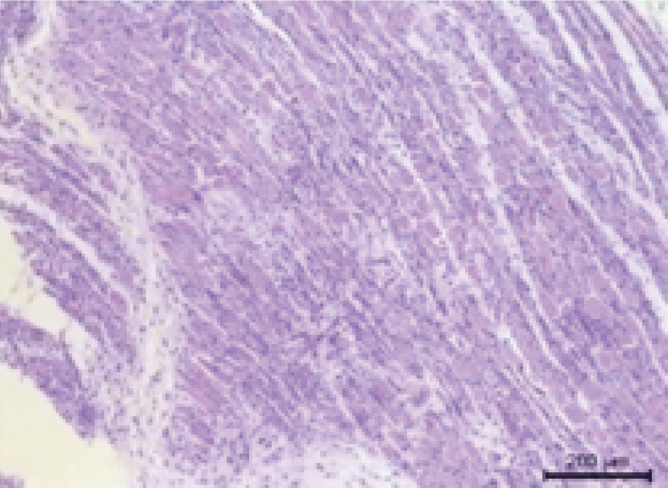
EV71感染手足口病模型

已完成4个感染治疗药物评价

病理标准:

模型动物肌肉组织弥漫性炎症,表现为肌纤维坏死、断裂,炎性细胞浸润,或伴有间质水肿。

图层 20.png

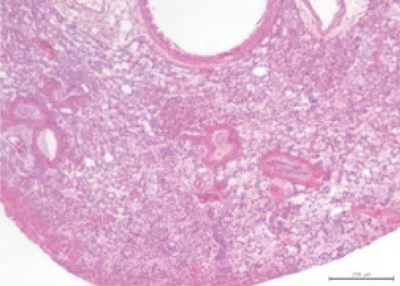
临床耐药菌感染模型

已完成超过20个细菌感染治疗药物评价

病理标准:

模型动物肺脏见弥漫性炎症,表现为肺泡、血管和细支气管周间质性细胞浸润,肺泡腔内可见炎性浆液和混合性炎细胞,偶见菌团/菌丝。

图层 21.png

豚鼠单纯疱疹(HSV-1)模型

病理标准:

模型动物皮肤可见表皮层鳞状上皮细胞增生、伴有角化过度,真皮层散在性炎细胞浸润。

4.5.png

组 12.png

豚鼠单纯疱疹性阴道炎(HSV-2)模型

病理标准:

模型动物阴道可见黏膜糜烂,下层水肿,伴有大量散在性炎细胞浸润。

4.5·.png

HPV-11转染HaCaT细胞致裸小鼠尖锐湿疣模型

病理标准:

模型动物皮肤可见表皮鳞状上皮增生、伴随着角化过度,真皮层炎细胞浸润,并在棘层和颗粒层可见凹空细胞。

4.6.png